[메가경제=주영래 기자]교모세포종은 가장 흔한 원발성 악성 뇌종양이며 환자의 평균 생존기간이 2년도 채 되지 않을 정도로 짧아 예후인자에 대한 연구가 활발히 진행돼 왔다.
그중 한가지로 종양의 형태가 체액(fluid) 성분이 대부분인 낭종(cyst)을 많이 포함하고 있는 것이 예후인자와 연관되어있을 것으로 제시되었으나, 연구마다 결과가 다르게 나와, 실제로 예후와 유의한 관련성이 있는지 논란이 되고 있다.
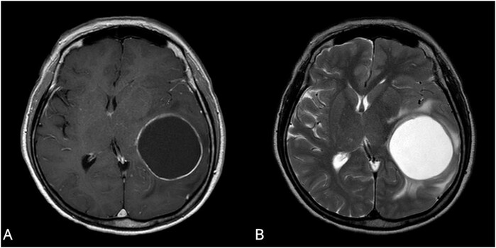
![]() |
| ▲낭종 이 있는 낭성군(A)환자가 비낭성군(B) 환자에 비해 유의하게 생존기간이 길었다[사진=서울성모병원] |
가톨릭대학교 서울성모병원 신경외과 안스데반 교수(교신저자, 제1저자: 김민주 가톨릭 의과대학 학생)팀이 MRI 검사에서 관찰된 낭의 유무에 따라, 낭성군 및 비낭성군으로 분류하여 어느 군이 더 좋은 예후를 보이는지 알아보고자, 2008년 8월부터 2020년 12월까지 서울성모병원에서 교모세포종을 진단받은 모든 환자들의 기록을 후향적으로 검토하였다. 254명의 교모세포종 환자 중에서, 최종적으로 총 145명이 선정기준을 충족하였으며, 16명은 낭성군으로, 129명은 비낭성군으로 분류됐다
성향 점수 매칭 (propensity score matching) 통계를 활용해 두 군의 다른 예후인자와 연관된 인자를 동일하게 맞춘 후, 카플란-마이어 생존 곡선을 분석한 결과, 낭성군의 생존기간이 28.6개월로 비낭성군의 18.8개월 보다 유의하게 길었다. 다변량 분석에서도 낭이 종양에서 차지하는 비율이 높을수록 환자의 생존기간이 유의하게 길었다.
안 교수는 “이번 연구는 교모세포종 환자 중 낭종의 비율이 높은 환자가 좋은 예후 결과를 보인다는 것을 입증할 수 있는 연구로, 향후 환자 예후 평가의 정확도를 높이고 치료 방향을 결정하는데 도움이 될 것”으로 기대했다.
한편 이번 연구결과는 신경학분야의 저명한 국제학술지인 ‘Clinical Neurology and Neurosurgery’ 4월호에 게재됐다.
[저작권자ⓒ 메가경제. 무단전재-재배포 금지]



















































































